LS8.2 Klinischer Fall Lithium-Disilikat

Aus Wikidental.de

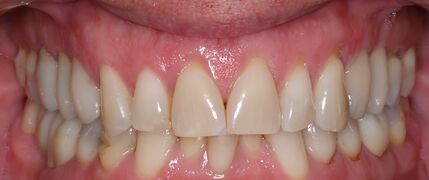
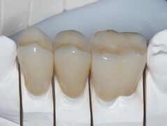
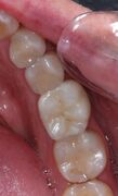
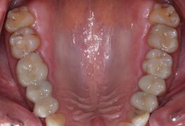
Diese Fotogalerie zeigt den klinischen Fall von Lithium-Disilikat-Kronen auf 14-16 sowie 24-27 bei einem 59jährigen Patienten. Die Versorgung wurde 2024 durchgeführt.

Gefertigt wurden die Kronen aus Rohlingen des Fabrikats IPS e.max CAD HT und MT der Firma Ivoclar in der Farbe VITA classical A3.